認知機能の低下が起こる10年以上前から
脳の萎縮は
始まっている

脳の萎縮は30代から少しずつ始まります。
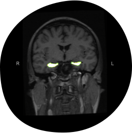
特に認知機能の低下に大きく関わるのが、
記憶の中枢である「海馬」と呼ばれる部分の萎縮。
不健康な生活習慣やストレスの影響で、
海馬は簡単に萎縮してしまいます。
海馬の萎縮が進み、萎縮が脳全体に広がると、
アルツハイマー型認知症を発症することも。
認知症は、誰もがなりうる病気です。
家族やご友人なども含めて、
多くの人にとって身近なものになっています。
平均寿命が延び続ける日本で
今後ますます増加すると言われている認知症。
今や高齢者の5人に1人が認知症になる時代です。
(*1)
将来のリスクに備えるには現在の脳の状態を
知ることが大切です。
















